微影医生安卓版是一款专为医疗行业设计的移动端应用,基于Android平台开发,通过云服务器实现患者影像数据、检查报告的实时调阅与共享。该软件以全中文可视化界面为核心,支持医生通过手机或平板设备快速获取患者的电子胶片、PDF文档及三维影像资料,同时提供在线问诊、患者管理、远程会诊等功能,助力医生突破地域限制,提升诊疗效率。其核心优势在于将传统医疗影像的查看流程从固定设备迁移至移动终端,结合AI辅助分析技术,为医生提供更精准的病情判断依据,尤其适用于急诊会诊、多学科协作等场景。

使用方法
1. 注册认证:下载安装后,使用手机号注册账号,进入“去认证”页面选择医生身份,上传身份证、医师资格证、执业证及工作证完成实名认证,确保操作权限合法性。
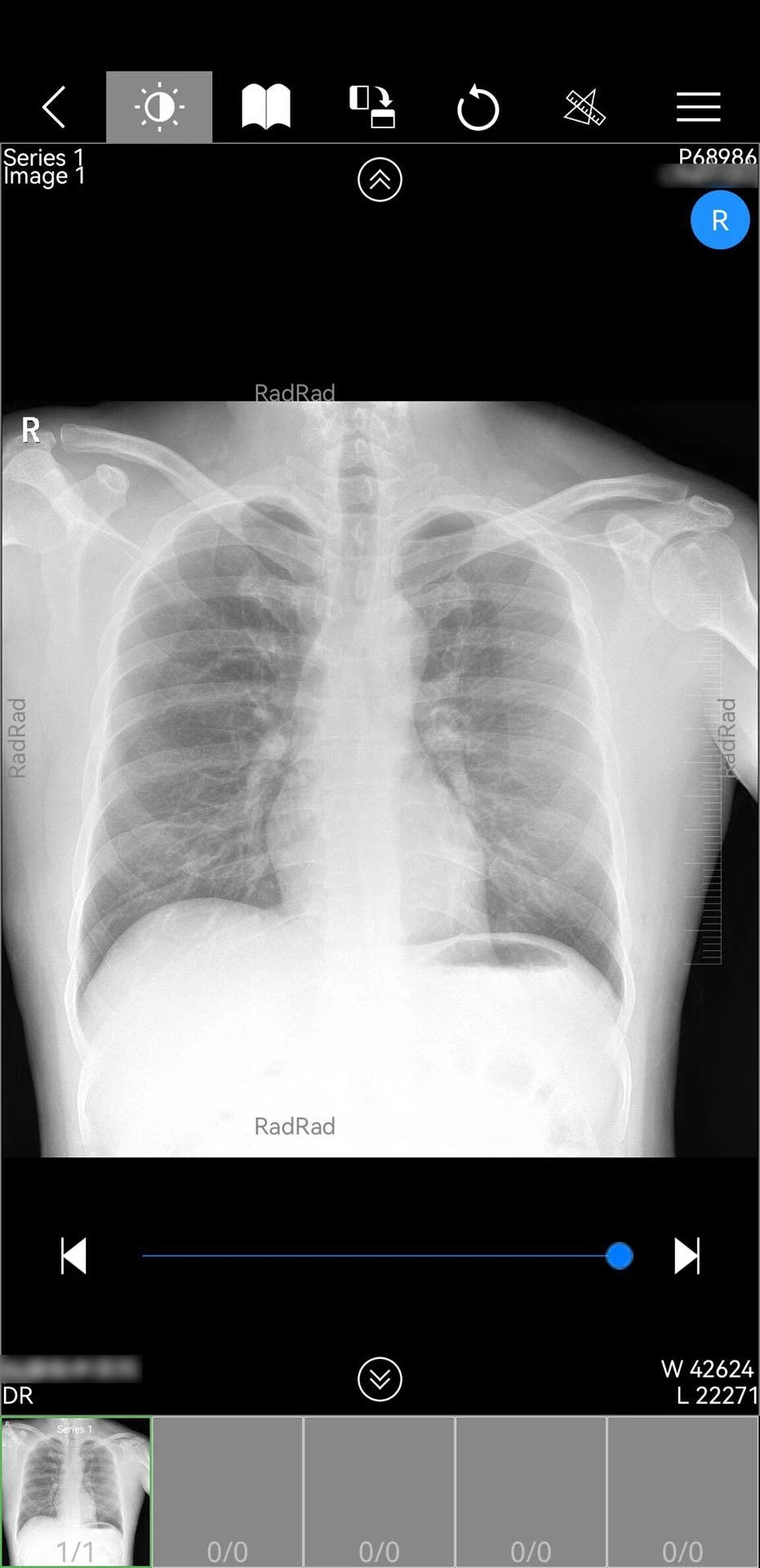
2. 患者数据调阅:登录后通过“影像中心”模块连接云服务器,输入患者ID或扫描报告二维码,即可查看CT、MRI等影像资料,支持缩放、旋转、三维重建等操作,辅助精准诊断。
3. 在线问诊与协作:在“问诊”界面选择图文、语音或视频模式与患者沟通,或通过“会诊”功能邀请其他医生加入讨论,支持实时标注影像关键区域并共享分析结论。
4. 患者管理与随访:利用“患者库”对预约挂号、咨询报到的患者进行分组标记,记录诊后病情变化,设置随访提醒,生成个性化健康管理方案。
APP创新
1. CT三维处理服务:2025年更新版本新增CT三维重建功能,医生可对二维影像进行立体化处理,直观观察病变空间结构,例如肺部结节的形态、血管分布等,提升复杂病例诊断准确率。
2. AI辅助分析系统:集成深度学习算法,自动识别影像中的异常区域并标注,如肺结节、骨折线等,同时生成初步诊断建议,帮助医生快速聚焦关键信息,减少漏诊风险。
3. 跨院数据共享机制:通过标准化接口与多家医院HIS系统对接,实现检查报告、影像数据的跨机构调阅,例如基层医院医生可申请调取上级医院患者的历史影像,避免重复检查。
APP讲解
1. 核心功能定位:以医疗影像为核心,覆盖诊断、治疗、随访全流程,解决传统影像查看依赖固定设备、协作效率低等问题,尤其适合急诊、远程医疗等场景。
2. 技术架构优势:采用轻量化客户端+云端渲染模式,降低设备性能要求,即使中低端手机也能流畅处理高分辨率影像;数据传输全程加密,符合国家医疗信息安全标准。
3. 用户群体扩展:除影像科医生外,还支持临床科室医生使用,例如外科医生可通过三维影像规划手术路径,肿瘤科医生结合多期影像评估治疗效果。
4. 隐私保护措施:患者数据存储于私有云服务器,医生需通过双重认证方可访问,且所有操作记录留痕,满足医疗合规性要求。
5. 持续更新机制:每月推送功能优化补丁,例如2025年12月更新中新增“影像对比”功能,支持同时调阅患者不同时期的影像进行动态分析。
网友说说
用户反馈显示,微影医生安卓版在急诊会诊场景中表现突出,某三甲医院医生表示:“夜间值班时通过手机快速调阅患者CT影像,结合AI标注功能,10分钟内完成诊断并制定治疗方案,效率提升显著。”基层医生则称赞其跨院数据共享功能:“以往转诊患者需重复检查,现在直接申请调取上级医院影像,患者负担减轻,协作更顺畅。”部分用户建议增加“语音输入报告”功能,以进一步提升操作便捷性。整体而言,该软件凭借专业性、安全性与易用性,成为医疗行业移动化转型的代表性工具。