微影医生免费正版是一款专为医护人员设计的移动医疗应用,基于Android平台开发,通过连接云服务器实现患者影像资料、检查报告及电子胶片的快速调阅与共享。该软件由浙江莱达信息技术有限公司研发,支持医生通过手机或平板设备随时随地查看患者CT、MRI等影像数据,并提供在线问诊、病情跟踪、多学科协作等功能,助力提升诊疗效率与精准度。其核心优势在于将影像学诊断与移动端便捷性深度结合,覆盖从患者管理到远程会诊的全流程需求。

软件优点
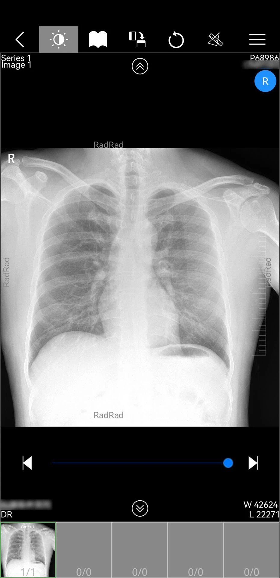
1. 高效数据管理:支持PDF文档、电子胶片及检查影像的云端存储与快速调阅,医生可实时获取患者历史检查记录,减少重复检查流程。
2. 多模式协作:提供图文、语音、视频问诊服务,并支持医生间通过短信或软件内部分享患者信息,实现跨院转诊与会诊,提升团队协作效率。
3. 隐私安全保障:采用数据加密传输与存储技术,严格遵循医疗行业隐私保护标准,确保患者信息在传输与存储过程中的安全性。
APP实用
1. 患者管理模块:医生可对预约挂号、咨询及报到的患者进行标记备注分组,并设置诊后随访提醒,跟踪病情变化。
2. 智能分析工具:集成AI辅助诊断功能,可快速分析影像数据中的异常区域,生成初步诊断建议,辅助医生制定治疗方案。
3. 跨设备兼容性:适配Android 4.0及以上系统,支持手机、平板等多终端使用,且具备自动更新功能,确保软件性能持续优化。
4. 社区互动功能:内置健康知识库与医患交流社区,医生可发布科普文章,患者可参与疾病讨论,形成线上线下联动的健康管理生态。
APP解析
1. 技术架构:基于云服务器构建,采用分布式存储与计算技术,确保海量影像数据的快速加载与低延迟传输,满足移动端高效处理需求。
2. 操作流程:医生通过手机号注册后,需上传医师资格证、执业证等材料完成实名认证,认证通过后即可绑定医院账号,同步患者信息。
3. 核心功能:除影像调阅外,还支持用药指导、健康评估、疾病自我评估问卷等功能,患者可通过每日健康签到记录体征数据,医生据此调整诊疗计划。
4. 用户反馈优化:针对部分用户提出的“历史数据占用空间过大”问题,开发团队在后续版本中增加了缓存清理功能,用户可手动删除过期文件,释放存储空间。
5. 跨平台支持:除Android版外,软件还提供iOS版本,但部分功能(如验证码显示)在旧版iOS系统中存在兼容性问题,需升级系统至iOS 12.0及以上版本。
网友说说
“作为影像科医生,微影医生让我能随时随地查看患者CT片,尤其在急诊会诊时非常方便,大大缩短了诊断时间。”——某三甲医院医生
“软件界面简洁,操作逻辑清晰,但希望未来能增加更多AI辅助诊断功能,比如自动标注病灶位置。”——某基层医院医生
“患者端预约挂号功能很实用,但部分老年患者反映操作流程稍复杂,建议增加语音引导或简化步骤。”——某社区卫生服务中心工作人员