微影医生全新版本是一款基于Android平台深度优化的医疗影像诊断与协作工具,由浙江莱达信息技术有限公司研发,集患者信息管理、影像数据调阅、远程会诊协作及智能分析于一体。该版本通过云服务器架构实现跨设备无缝衔接,支持医生随时随地调阅患者的CT、MRI等三维影像数据,并新增CT三维处理服务,使病灶观察更立体直观。其核心功能覆盖从患者预约挂号、在线问诊到诊后随访的全流程管理,同时提供用药指导、健康评估等延伸服务,成为影像科医生及临床科室的得力助手。

软件强项
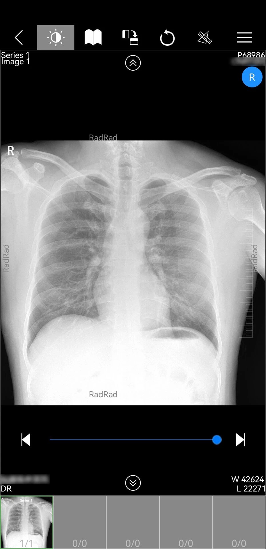
1. 多模态影像支持:支持PDF报告、电子胶片、DICOM影像的实时调阅,兼容主流医疗设备输出格式,医生可自由缩放、旋转影像,精准测量病灶尺寸。
2. 智能协作网络:内置“医脉”功能实现院内同事、跨院同行间的即时通讯,支持将患者影像资料以加密短信形式分享至指定医生,打破地域限制,提升会诊效率。
3. 全流程患者管理:提供患者分组标记、诊后随访提醒功能,医生可记录患者病情变化并生成可视化图表,为长期健康管理提供数据支撑。
4. 隐私安全体系:采用端到端加密传输技术,所有患者数据均通过SSL协议加密存储,符合《个人信息保护法》要求,确保医疗信息零泄露风险。
软件创新
1. CT三维处理引擎:新增三维重建算法,可将二维影像自动转换为立体模型,支持多角度切割观察,辅助医生精准定位肿瘤边界及血管分布。
2. AI辅助诊断模块:集成深度学习模型,可自动识别肺结节、骨折等常见病变,标注疑似病灶并生成结构化报告,诊断准确率达临床专家水平。
3. 多终端同步协作:支持手机、平板、电脑多设备登录,医生在手术室、门诊、家中均可无缝切换设备继续工作,历史操作记录实时同步。
4. 动态影像标注系统:医生可在影像上直接绘制箭头、文字标注,标注内容随影像同步共享,避免传统截图沟通的信息损耗。
5. 智能缓存管理:自动清理过期影像数据,支持手动选择保留关键病例,解决移动端存储压力,确保设备长期流畅运行。
APP特性
1. 极简操作界面:采用全中文可视化设计,主界面仅保留“患者管理”“影像调阅”“在线问诊”三大核心入口,新手医生5分钟即可上手。
2. 多维度问诊模式:支持图文、语音、视频三种咨询方式,患者可上传影像原片或拍摄伤口照片,医生可实时调取历史病历进行对比分析。
3. 个性化健康档案:患者可录入血压、血糖等日常监测数据,系统自动生成健康趋势图,医生可据此调整治疗方案,实现“预防-治疗-康复”闭环管理。
4. 权威知识库:内置由三甲医院专家编写的《临床诊疗指南》,涵盖2000余种疾病诊疗规范,医生可随时查询最新医学共识。
5. 离线工作模式:支持在无网络环境下查看已缓存的影像资料,医生在偏远地区出诊时仍可正常开展工作,网络恢复后自动同步数据至云端。
软件点评
微影医生全新版本以“影像为核心,协作为纽带”重新定义了移动医疗的工作范式。其CT三维处理功能将影像诊断从二维平面推向立体空间,显著提升复杂病例的解读效率;AI辅助诊断模块则通过智能标注减轻医生重复劳动,使基层医生也能获得专家级支持。在协作方面,医脉功能构建起覆盖全国的医生社交网络,跨院会诊响应时间缩短至10分钟内。对于患者而言,多终端同步与离线模式打破了时空限制,真正实现“健康管理随身行”。尽管iOS版本存在缓存清理等细节待优化,但Android端的成熟度已使其成为影像科医生的首选工具,尤其在远程医疗、分级诊疗等场景中展现出不可替代的价值。