微影医生官网版是一款专为医疗行业打造的安卓移动应用,依托浙江莱达信息技术有限公司的技术实力,深度整合云服务器与移动设备计算能力,构建了覆盖患者信息管理、影像数据调阅、多模态问诊及跨院协作的智能化医疗平台。该软件以全中文可视化界面为核心,支持医生通过手机/平板实时查看患者的CT、MRI等电子胶片及PDF检查报告,并可一键分享至指定医生进行远程会诊。其核心功能涵盖图文问诊、视频咨询、AI辅助诊断、患者分组管理、用药指导及健康知识库等,形成从诊疗到随访的全流程闭环,显著提升基层医疗机构与三甲医院间的协作效率,尤其适合影像科、全科医生及医疗团队使用。

软件说明
1. 版本与兼容性:当前最新版本为v1.18.110,支持Android 4.0及以上系统,文件大小约19.4MB,适配主流安卓设备,可通过应用宝、3DM手游网等官方渠道下载。
2. 核心功能模块:包括患者信息管理(支持标记、分组、随访)、影像数据调阅(连接云服务器实时查看电子胶片)、多模态问诊(图文/语音/视频)、AI健康评估(基于用户数据生成个性化报告)、用药指导(药物作用及注意事项查询)及预约挂号(对接线下医院资源)。
3. 数据安全机制:采用端到端加密技术,所有患者信息、检查报告及问诊记录均通过SSL加密传输,并存储于符合HIPAA标准的云服务器,确保隐私合规性。
软件优点
1. 高效协作能力:支持同院或跨院医生间的患者转诊与会诊,例如三甲医院专家可通过软件远程指导基层医生解读复杂影像,减少患者转诊时间。
2. 智能化诊断辅助:集成AI算法,可自动分析患者症状与影像数据,提供初步诊断建议。例如,在肺结节筛查中,AI能标注可疑病灶并计算恶性概率,辅助医生决策。
3. 全流程患者管理:医生可对患者进行分组管理(如慢性病、术后随访),并设置自动提醒功能。例如,为糖尿病患者定制血糖监测计划,定期推送健康建议。
4. 多场景问诊支持:覆盖急诊、复诊、慢病管理等场景。例如,偏远地区患者可通过视频问诊获得三甲医院专家的即时指导,避免长途奔波。
5. 隐私保护强化:通过动态权限控制,医生仅能查看授权患者的信息,且所有操作留痕可追溯,符合《个人信息保护法》要求。
APP讲解
1. 注册与认证流程:用户需通过手机号注册,进入“去认证”页面选择“医生”角色,上传身份证、医师资格证、执业证及工作证,审核通过后即可使用全部功能。
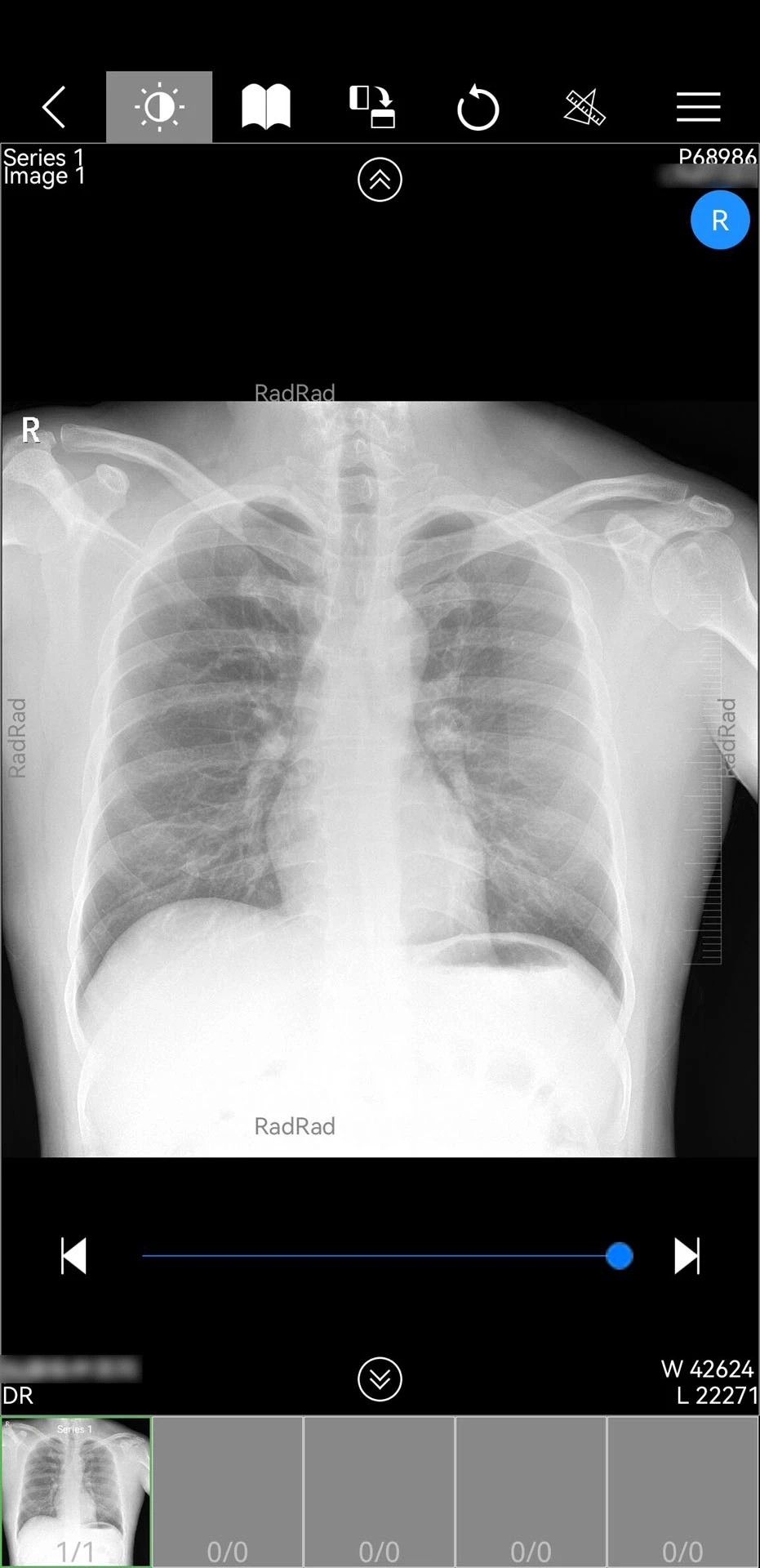
2. 影像调阅操作:在“患者列表”中选择目标患者,点击“检查报告”即可查看PDF文档,或通过“影像查看”功能加载DICOM格式的电子胶片,支持缩放、旋转及窗宽窗位调整。
3. 远程会诊功能:在患者详情页点击“分享病例”,可选择短信或应用内邀请其他医生加入会诊,支持多人视频讨论及实时标注影像关键区域。
4. AI辅助诊断入口:在“智能诊断”模块输入患者症状(如“持续咳嗽3周”),上传影像或检查报告,AI将生成包含诊断建议、鉴别诊断及参考文献的报告,供医生参考。
5. 健康知识库使用:在“学习中心”可浏览疾病预防、用药指南等文章及视频,例如搜索“高血压管理”可获取最新诊疗指南及患者教育素材。
用户测评
根据多平台用户反馈,微影医生在功能实用性、操作便捷性及数据安全性方面获得广泛认可。一位三甲医院影像科医生表示:“软件调阅影像的速度比医院PACS系统更快,且支持多设备同步查看,极大提升了门诊效率。”基层医生则称赞其“远程会诊功能让偏远地区患者也能享受优质医疗资源”。部分用户建议增加“历史数据清理”功能以优化存储空间,并完善iOS版本验证码显示问题。综合评分显示,该软件在医疗类应用中位居前列,尤其适合需要高效协作与移动办公的医疗团队。